专业版 患者版
医院概况
医院简介哈尔滨医科大学附属肿瘤医院(黑龙江省肿瘤医院、哈医大三院)始建于1972年,是黑龙江省唯一集肿瘤预防、医疗、教学、科研、康复为一体的三级甲等专科医院。医院占地面积20.6万平方米,年门诊量137万人次、出院17.6万人次、手术6万例。拥有59个临床科室、21个医技科室、15个教研室、7个住院医师规范化培训专业基地、1所健康管理中心,全院职工2851人。在国家三级公立医院绩效...详情
医院概况

电话:0451-86298000

传真:0451-86663760

地址:黑龙江省哈尔滨市 南岗区哈平路150号

历史沿革
交通指南

哈尔滨医科大学附属肿瘤医院

电话:0451-86298000

传真:0451-86663760

地址:黑龙江省哈尔滨市 南岗区哈平路150号

新闻头条
党建云平台
科研公告
工作流程
人事动态信息
人事规章制度
人事工作职责
历史搜索

扫描二维码关注

“哈尔滨医科大学附属肿瘤医院”

微信公众号

扫描二维码分享给其他人

扫描二维码进入

“哈尔滨医科大学附属肿瘤医院”

微信小程序

您当前位置: 首页 > 医院新闻 > 新闻中心 > 正文

抗癌尖峰 护航生命|哈医大肿瘤医院成功完成高难度腹盆腔多发转移瘤切除术

作者:赵萌 王云峰   来源:   发表时间 :2026-04-23    浏览次数:   

腹盆腔多发转移瘤因病灶广泛弥散、边界模糊不清,极易侵犯重要血管与脏器,手术创伤大、耗时长、风险高,历来是外科领域公认的“硬骨头”。


近日,哈医大肿瘤医院肝胆胰外科张玉宝教授团队历经7小时全力奋战,成功完成一例腹盆腔多发转移瘤切除术。在完整切除病灶的同时,精准保护周围脏器与血管结构,充分展现出团队精湛的外科技术与高水平、精细化的围手术期综合管理能力。


病灶复杂迷局

二次开腹难度陡增


51岁的张女士卵巢恶性肿瘤切除术后,肿瘤复发,腹盆腔广泛多发转移,病灶弥漫分布,并与大血管、肠道、盆腔脏器紧密粘连。因患者腹盆腔内解剖结构紊乱,二次手术难度与风险成倍增加。张女士辗转多家医院,均被告知无法根治性切除肿瘤,抱着最后一线希望,她慕名找到哈医大肿瘤医院张玉宝教授,寻求专业救治。


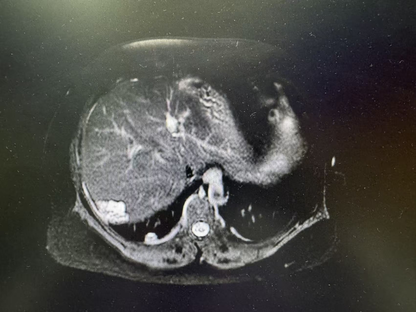
术前肿瘤影像数据


入院后,张玉宝教授立即带领团队对患者病情进行全面细致评估,启动多学科会诊(MDT),联合影像中心、麻醉科、重症医学科等专家,精准研判肿瘤侵犯范围、血管受累程度及脏器功能状态。结合二次开腹手术的特殊性,团队反复优化手术入路与切除策略,充分预判术中可能出现的致命风险,制定周密的个体化手术方案与应急预案,为手术安全筑牢坚实基础。


七小时攻坚克难

精准剥离凶险病灶


手术中,张玉宝教授凭借深厚解剖功底与丰富临床经验,带领团队沉着应战、精准操作。术中可见,腹腔内广泛粘连,肿瘤组织与肠管、输尿管、髂血管及盆腔侧壁致密浸润。团队耐心细致地逐层分离粘连,精准辨识并保护重要血管与脏器,逐步游离肿瘤边界,依次完整切除所有转移病灶,全程有效控制出血,最大限度降低手术创伤。经过7小时艰苦奋战,手术顺利完成,成功将肿瘤完整切除,达到无肉眼残留的预期治疗效果。


张玉宝教授手术中


术后,在医护团队的精心照料与严密监测下,张女士各项指标恢复良好,目前已顺利出院,重新开启正常生活。


深耕疑难重症

守护百姓生命健康


“患者年龄较轻、身体基础条件良好,完整切除转移病灶后,生存周期延长及生活质量改善效果更为明显。”张玉宝教授表示,即便手术难度高、风险大,只要尚存治疗希望,团队便会全力以赴,尽最大努力为患者延长生存期、提升生活质量。


近年来,哈医大肿瘤医院不断提升疑难重症诊疗水平,持续深化多学科协作、推动技术创新,在复杂肿瘤切除、高难度血管重建、复发转移肿瘤精准治疗等方面不断取得突破。未来,医院将始终坚守医者初心、勇闯手术禁区、攻克救治难题,为更多患者点亮生命希望,以实际行动守护人民群众生命健康。

相关新闻
读取内容中,请等待...

请升级浏览器版本

你正在使用旧版本浏览器。请升级浏览器以获得更好的体验。