专业版 患者版
医院概况
医院简介哈尔滨医科大学附属肿瘤医院(黑龙江省肿瘤医院、哈医大三院)始建于1972年,是黑龙江省唯一集肿瘤预防、医疗、教学、科研、康复为一体的三级甲等专科医院。医院占地面积20.6万平方米,年门诊量137万人次、出院17.6万人次、手术6万例。拥有59个临床科室、21个医技科室、15个教研室、7个住院医师规范化培训专业基地、1所健康管理中心,全院职工2851人。在国家三级公立医院绩效...详情
医院概况

电话:0451-86298000

传真:0451-86663760

地址:黑龙江省哈尔滨市 南岗区哈平路150号

历史沿革
交通指南

哈尔滨医科大学附属肿瘤医院

电话:0451-86298000

传真:0451-86663760

地址:黑龙江省哈尔滨市 南岗区哈平路150号

新闻头条
党建云平台
科研公告
工作流程
人事动态信息
人事规章制度
人事工作职责
历史搜索

扫描二维码关注

“哈尔滨医科大学附属肿瘤医院”

微信公众号

扫描二维码分享给其他人

扫描二维码进入

“哈尔滨医科大学附属肿瘤医院”

微信小程序

您当前位置: 首页 > 医院新闻 > 新闻中心 > 正文

哈医大肿瘤医院后装放疗技术精准控制肺癌骨转移

作者:刘锐 李根   来源:   发表时间 :2026-04-09    浏览次数:   

近日,哈医大肿瘤医院胸部放疗四病房团队采用后装放疗技术成功治疗多例肺癌骨转移及胸膜间皮瘤等难治性胸部肿瘤患者。临床结果显示,该技术能有效缩小病灶、缓解疼痛,且治疗周期短、不良反应少。这为难治性、位置复杂的胸部肿瘤提供新的治疗选择。


技术原理

由内向外定向爆破”


后装放疗是一种近距离放射治疗技术。与传统放疗从体外照射不同,该技术先将施源器植入肿瘤病灶内部,再通过遥控将放射源经施源器送至病灶核心,实现高剂量射线对肿瘤的集中杀伤。由于放射源紧贴病灶,周围正常组织如肺、脊髓等受照剂量显著降低。


据该病房李根医生介绍,肺癌肋骨转移灶常毗邻重要脏器,传统外放疗因剂量限制难以彻底清除。后装放疗在CT影像引导下,可实时调整靶区位置,根据病灶形状优化剂量分布,在提升疗效的同时保障安全性。


临床效果

疼痛缓解快病灶控制明确


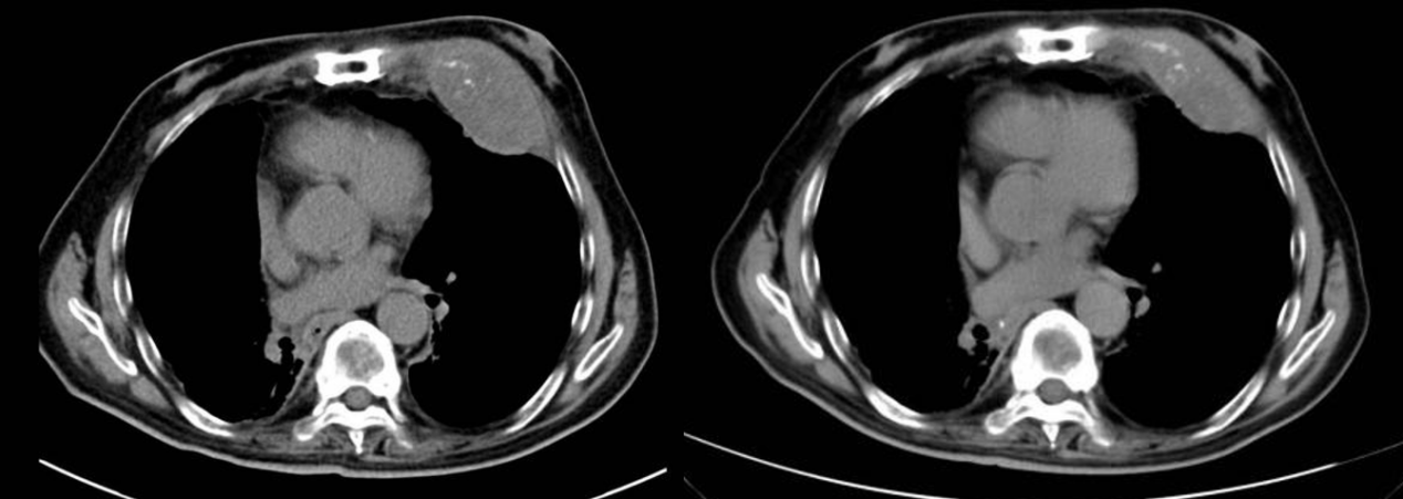
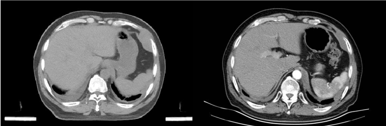
在临床效果方面,接受治疗的患者短期内骨痛即明显减轻,可逐步脱离强效止痛药,翻身、行走等日常活动能力恢复。治疗前后的CT影像对比显示,病灶及周围软组织肿物范围显著缩小,骨质破坏进展得到有效遏制,癌细胞活性明显下降。此外,该治疗方式便捷性突出,患者仅需住院2至3天即可完成治疗,全程无明显不良反应,术后无放射源残留,治疗结束当天即可恢复正常生活,且治疗费用相对较低。


患者1治疗前后图像

患者2治疗前后图像


团队核心成员李根医生在2025中国整合肿瘤学大会暨中国抗癌协会近距离放射治疗专业委员会学术会议上,以优秀论文报告形式,分享后装插植放疗在非小细胞肺癌治疗后复发中的应用研究,充分展现科室在近距离放疗领域的临床探索与学术积淀。


未来,哈医大肿瘤医院胸部放疗四病房团队将持续推进后装放疗技术的临床转化,拓展其在更多胸部肿瘤转移场景中的应用;同时联合疼痛管理、营养支持等多学科力量,不断优化治疗流程,为晚期肿瘤患者提供更加安全、高效的个体化治疗方案。

相关新闻
读取内容中,请等待...

请升级浏览器版本

你正在使用旧版本浏览器。请升级浏览器以获得更好的体验。