专业版 患者版
医院概况
医院简介哈尔滨医科大学附属肿瘤医院(黑龙江省肿瘤医院、哈医大三院)始建于1972年,是黑龙江省唯一集肿瘤预防、医疗、教学、科研、康复为一体的三级甲等专科医院。医院占地面积20.6万平方米,年门诊量137万人次、出院17.6万人次、手术6万例。拥有59个临床科室、21个医技科室、15个教研室、7个住院医师规范化培训专业基地、1所健康管理中心,全院职工2851人。在国家三级公立医院绩效...详情
医院概况

电话:0451-86298000

传真:0451-86663760

地址:黑龙江省哈尔滨市 南岗区哈平路150号

历史沿革
交通指南

哈尔滨医科大学附属肿瘤医院

电话:0451-86298000

传真:0451-86663760

地址:黑龙江省哈尔滨市 南岗区哈平路150号

新闻头条
党建云平台
科研公告
工作流程
人事动态信息
人事规章制度
人事工作职责
历史搜索

扫描二维码关注

“哈尔滨医科大学附属肿瘤医院”

微信公众号

扫描二维码分享给其他人

扫描二维码进入

“哈尔滨医科大学附属肿瘤医院”

微信小程序

您当前位置: 首页 > 医院新闻 > 新闻中心 > 正文

聚焦精准放疗 | 哈医大肿瘤医院应用SFRT技术为晚期肝转移肿瘤患者点亮希望

作者:柳晴 李根   来源:   发表时间 :2026-03-11    浏览次数:   

近日,哈医大肿瘤医院胸部放疗四病房尹航教授团队运用前沿空间分割放疗(SFRT)技术,成功为一名胸腺恶性肿瘤肝转移患者实施精准治疗。患者肝脏转移瘤直径由12cm显著缩小至 4.3cm,症状全面缓解,生活质量大幅提升,充分展现SFRT技术在晚期肿瘤治疗领域的突出优势和临床价值。

绝境困局晚期转移瘤难破治疗瓶颈

患者此前接受多种治疗方法,病情仍持续进展。2025年9月复查显示,肝脏转移瘤已增大至12cm,伴随明显腹胀、腹痛等症状,严重影响生活质量。面对这一复杂病情,传统治疗手段效果有限,肿瘤进展难以控制,患者一度陷入治疗困境。


危急时刻,胸部放疗四病房团队第一时间组织病例研讨。结合患者大体积肝转移瘤的特殊病情,团队反复研判、精准施策,最终确定采用SFRT技术,为患者制定个性化精准治疗方案。

晶格狙击SFRT技术直抵肿瘤核心

SFRT技术是针对大体积、难治性肿瘤研发的创新放疗技术,其核心原理是在肿瘤内部构建三维“晶格”状剂量矩阵,对肿瘤内多个微小靶区实施高剂量精准狙击,同时以低剂量对肿瘤进行全面覆盖。这种“精准打击+全域覆盖”的模式,在最大化杀伤肿瘤细胞的同时,可有效保护周围正常肝组织,显著降低放疗不良反应,实现疗效与安全性的双重保障。


针对本例巨大肝转移瘤,团队在定位影像的精准引导下,细致勾画肿瘤内的高剂量靶区,通过“高剂量峰值+低剂量谷值”的非均匀剂量分布,强效杀伤肿瘤并规避正常肝组织过量照射。治疗全程,团队密切监测患者的肿瘤体积变化与身体状态,实时调整治疗细节,确保每一步治疗都精准、安全、有效。

疗效斐然肿瘤缩减生活重归正轨

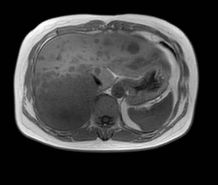
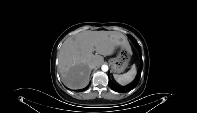
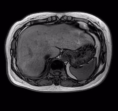
治疗期间,患者肝脏转移瘤从12cm迅速缩小至7cm,体积锐减超四成。治疗后3个月复查,巨大转移瘤已缩小至4.3cm,体积缩减近三分之二,患者生化指标大幅好转,体重较治疗前显著增加,疼痛症状完全缓解,饮食、睡眠与日常活动逐步恢复正常,生活质量显著提升。

左:治疗前 中:治疗中 右:治疗后三个月

技术解码为何SFRT是大体积肿瘤的“天敌”?


相较于传统放疗,SFRT技术在大体积肿瘤及放疗抵抗性肿瘤治疗中具备三大核心优势。


精准护脏器:非均匀剂量分布巧妙规避周围正常器官的辐射损伤,尤其适用于肝脏等放疗敏感脏器,守护健康底线。


免疫启新机:独特剂量模式触发旁观者效应、远隔效应及全身免疫应答,从免疫维度放大肿瘤杀伤效能,实现“一石二鸟”。


动态更适配:融合自适应放疗技术,随肿瘤退缩实时校准靶区,让精准治疗贯穿全程,持续保持对肿瘤的压制力。


科室硬核引领前沿守护生命防线


哈医大肿瘤医院胸部放疗四病房长期聚焦胸部肿瘤放疗前沿,在各类放疗技术的临床应用中积累丰富经验。此次成功完成胸腺恶性肿瘤肝转移的精准治疗,不仅为无数晚期大体积肿瘤患者开辟新的治疗路径,更充分展现科室在肿瘤放疗领域的技术硬实力与创新活力。


未来,哈医大肿瘤医院将持续深耕前沿技术的临床转化与创新应用,以更前沿的技术、更精湛的医术、更个体化的方案,为更多晚期肿瘤患者突破治疗困境、重获健康与希望,用科技力量与医者温度,为生命保驾护航。

相关新闻
读取内容中,请等待...

请升级浏览器版本

你正在使用旧版本浏览器。请升级浏览器以获得更好的体验。