专业版 患者版
医院概况
医院简介哈尔滨医科大学附属肿瘤医院(黑龙江省肿瘤医院、哈医大三院)始建于1972年,是黑龙江省唯一集肿瘤预防、医疗、教学、科研、康复为一体的三级甲等专科医院。占地面积20.6万平方米,开放床位3160张,年门诊量120万人次、出院17.5万人次、手术5.7万例。拥有57个临床科室、21个医技科室、15个教研室、7个住院医师规范化培训专业基地,以及省内规模最大、功能最齐全、筛查肿瘤最专...详情
医院概况

电话:0451-86298000

传真:0451-86663760

地址:黑龙江省哈尔滨市 南岗区哈平路150号

历史沿革
交通指南

哈尔滨医科大学附属肿瘤医院

电话:0451-86298000

传真:0451-86663760

地址:黑龙江省哈尔滨市 南岗区哈平路150号

新闻头条
党建云平台
科研公告
工作流程
人事动态信息
人事规章制度
人事工作职责
历史搜索

扫描二维码关注

“哈尔滨医科大学附属肿瘤医院”

微信公众号

扫描二维码分享给其他人

扫描二维码进入

“哈尔滨医科大学附属肿瘤医院”

微信小程序

您当前位置: 首页 > 医院新闻 > 新闻中心 > 正文

突破困局 | 哈医大肿瘤医院应用静吸复合麻醉护航肾衰患者闯过肺病灶消融关

作者:柳晴 陶冀   来源:   发表时间 :2026-01-09    浏览次数:   

近日,哈医大肿瘤医院微创消融平台负责人陶冀教授团队联合麻醉科郭振海教授,成功为一名合并严重肾功能衰竭的肺结节患者,在静吸复合麻醉下实施高难度微波消融手术。面对患者血肌酐564μmol/L(女性44-97μmol/L正常范围)、长期透析的极危状态,团队通过精准影像定位与分段穿刺消融策略,彻底灭活肺内高危病灶,破解“肾衰+肺部高危结节”并存的治疗难题。

陶冀教授团队手术中


两难困境肾衰患者遇肺部高危结节


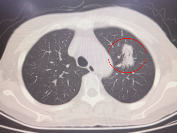
53岁的李女士常年受肾功能衰竭困扰,需依靠每日4小时血液透析维系生命。在她苦等匹配肾源、即将迎来肾移植曙光之际,术前PET-CT检查发现其左肺上叶靠近肺门处存在一枚直径1.3cm的混杂性磨玻璃样高危肺结节。


消融前影像


肾移植对受者筛选标准严苛,明确要求无肿瘤病史。而李女士因长期肾衰,身体消耗严重,无法耐受传统开胸手术创伤。辗转求医后,最终选择在哈医大肿瘤医院通过微创微波消融术清除病灶。


精准破题静吸复合麻醉减少肾损伤风


肾衰患者体内毒素堆积,会抑制肝脏药物代谢酶活性,导致麻醉药物代谢速率大幅减慢。若采用常规静脉麻醉,极易出现药物蓄积,引发呼吸、循环抑制,且剂量难以精准把控。面对这一难题,麻醉师郭振海教授选定静吸复合麻醉方案,以吸入七氟烷麻醉为主,该类药物主要通过肺部排出、基本不依赖肾脏代谢,显著减少静脉麻醉用药量,有效降低药物对受损肾脏的影响,保障麻醉过程平稳。


微创攻坚分段消融攻克肺门病灶


本次手术核心难点在于消融操作。患者病灶紧邻肺门,周围血管密集,且患者凝血能力欠佳,穿刺出血风险极高。在静吸复合麻醉的平稳支持下,陶冀教授团队通过精准影像定位实施分段穿刺,成功将消融针精准送达病灶核心。随后,团队以40W启动消融,根据情况实时调至50W,在9分钟的消融过程中精准把控范围,既确保覆盖病灶,又与肺门血管保持安全距离。术中患者心率、血压平稳,术后影像显示病灶已彻底消融,且无出血、气胸等并发症发生。


消融术中影像 消融术后影像


目前,患者身体恢复良好,肺部病灶的成功清除为她后续顺利接受肾移植扫清关键障碍。哈医大肿瘤医院团队凭借丰富的高危病例诊疗经验与多学科协作优势,将静吸复合麻醉与微创消融技术精准融合,成功打破肾衰合并肺部高危结节患者的治疗困局,为同类患者的治疗点亮新希望。

相关新闻
读取内容中,请等待...

请升级浏览器版本

你正在使用旧版本浏览器。请升级浏览器以获得更好的体验。