专业版 患者版
医院概况
医院简介哈尔滨医科大学附属肿瘤医院(黑龙江省肿瘤医院、哈医大三院)始建于1972年,是黑龙江省唯一集肿瘤预防、医疗、教学、科研、康复为一体的三级甲等专科医院。占地面积20.6万平方米,开放床位3160张,年门诊量120万人次、出院17.5万人次、手术5.7万例。拥有57个临床科室、21个医技科室、15个教研室、7个住院医师规范化培训专业基地,以及省内规模最大、功能最齐全、筛查肿瘤最专...详情
医院概况

电话:0451-86298000

传真:0451-86663760

地址:黑龙江省哈尔滨市 南岗区哈平路150号

历史沿革
交通指南

哈尔滨医科大学附属肿瘤医院

电话:0451-86298000

传真:0451-86663760

地址:黑龙江省哈尔滨市 南岗区哈平路150号

新闻头条
党建云平台
科研公告
工作流程
人事动态信息
人事规章制度
人事工作职责
历史搜索

扫描二维码关注

“哈尔滨医科大学附属肿瘤医院”

微信公众号

扫描二维码分享给其他人

扫描二维码进入

“哈尔滨医科大学附属肿瘤医院”

微信小程序

您当前位置: 首页 > 医院新闻 > 新闻中心 > 正文

肝癌遇上“脆弱心脏”| 哈医大肿瘤医院成功为高危心衰患者完成高难度消融手术

作者:柳晴 陶冀   来源:   发表时间 :2025-11-11    浏览次数:   

近日,哈医大肿瘤医院消化内科二病房陶冀教授团队成功为一名合并严重心力衰竭的肝癌患者,在局部麻醉下实施高难度微波消融手术。面对患者左心射血分数仅25%(正常范围约50%-70%)的极危状态,团队以精准穿刺技术与阶梯式消融策略,实现肝内高危病灶的彻底灭活,破解“肿瘤+脆弱心脏”并存的治疗难题。


陶冀教授手术中


今年67岁的姜女士,有乙肝肝硬化病史,两年前接受过乳腺癌根治术,多重基础疾病让其身体耐受度大幅下降。近期复查时,发现其肝脏有两处新发结节,最大直径约2.0cm,经穿刺活检确诊为肝细胞癌。更棘手的是,姜女士合并严重心力衰竭,心功能已达到极危水平。经肝胆外科、介入科等多学科会诊评估,认为传统手术或常规介入治疗,手术风险极高,患者心功能无法耐受。


“患者及家属治疗意愿强烈,我们不能轻言放弃。”陶冀教授团队决定迎难而上,最终决定为患者实施局部麻醉下肝病灶微波消融术。该术式创伤小、恢复快,但对穿刺精准度与术中生命体征调控提出极高要求。


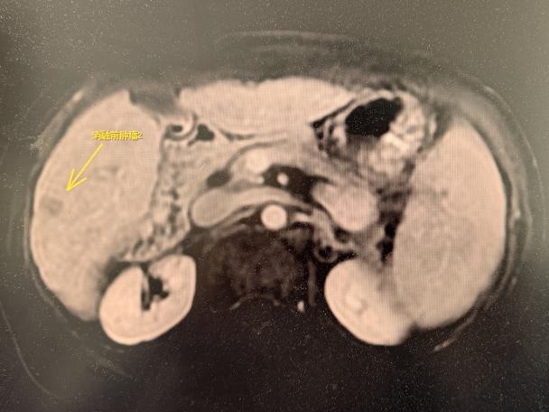
消融术前影像


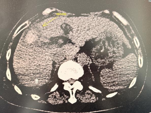
术中,患者生命体征极度不稳定,血氧饱和度在70%至90%之间波动,呼吸急促导致消融针随膈肌大幅摆动,CT影像出现明显重影,为精准穿刺带来极大挑战。治疗过程中医生们沉着冷静、各司其职:麻醉科郭振海教授全程严密监护,精细调控呼吸与心率,确保能在血氧短暂回升至90%的宝贵窗口期内进针;陶冀教授团队则采取“阶梯功率、分次消融”策略,首轮以40-50-70W功率渐进消融9分钟后,调整针道进行第二循环治疗,最终完整覆盖两处紧贴肝被膜的病灶,肿瘤完全消融。历时2小时,手术顺利完成,患者未出现出血、气胸等并发症,术后生命体征逐步平稳,实现精准消融与安全治疗的双重目标。


消融术中影像


消融术后影像


陶冀教授表示,对于合并严重基础疾病的高危肝癌患者,微创消融技术与精准围术期管理的有机结合,正在改写传统治疗的“禁区边界”。一直以来,哈医大肿瘤医院深耕高危重症患者的个体化治疗路径,不断探索更安全、有效的治疗模式,为更多肿瘤患者点亮生命之光。

相关新闻
读取内容中,请等待...

请升级浏览器版本

你正在使用旧版本浏览器。请升级浏览器以获得更好的体验。